Can Colon Cancer Be Mistaken For Hernia : Female Hernias Can Be Misdiagnosed Or Overlooked Prime Surgicare : I was diagnosed in april2019, and had my first surgery on 5/6 (opensurgery), with a second one 10 days later due to an anastomotic leak.
Dapatkan link
Facebook
X
Pinterest
Email
Aplikasi Lainnya
Can Colon Cancer Be Mistaken For Hernia : Female Hernias Can Be Misdiagnosed Or Overlooked Prime Surgicare : I was diagnosed in april2019, and had my first surgery on 5/6 (opensurgery), with a second one 10 days later due to an anastomotic leak.. Some of the other medical conditions that can be confused with appendicitis include: A hernia happens anytime a body part pushes into a place where it doesn't belong. It should not be mistaken for a pericolic abscess and, where there is the slightest doubt, percutaneous drainage should be contraindicated. Due to the widely misunderstood nature of cancer, cancer misdiagnosis is among the most common type of medical misdiagnosis. We therefore conclude that the association between colon cancer and inguinal hernia is mainly coincidental, and the cancer must be suspected on a clinical basis.
Cancers that originate in the. Although still considered rare, adenocarcinoma of the esophagus, the most common form of esophageal cancer, is one of the. Rarely, within a hernia, a coincidental tumor of the colon or appendix can be found. It may lead to immediate death, so you have to know symptoms and early warning signs of colon cancer to protect yourself against this disaster. The use of synthetic mesh in association with colonic resection did not lead to post operative infection, allowing concomitant treatment of both diseases in elderly, high risk patients.
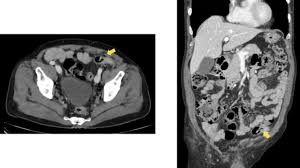
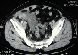
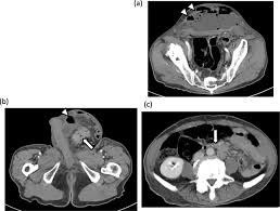
Pdf An Unusual Case Of A Strangulated Right Inguinal Hernia Containing The Sigmoid Colon from i1.rgstatic.net Shelby is very active on our site always there to help others along their way, offering support and answering questions that those who are just starting. It may lead to immediate death, so you have to know symptoms and early warning signs of colon cancer to protect yourself against this disaster. An inguinal hernia containing colorectal cancer is rare but serious and can often present with complications such as perforation. In this condition, pain is caused on the left side of the abdomen but it can also be at the right side, which is quite close to the location of the appendix. Because hernias are more common in men than in women, they can sometimes be an overlooked source of pain for women, according to the society of laparoendoscopic surgeons (sls). A hernia happens anytime a body part pushes into a place where it doesn't belong. A tumor is a solid or cystic mass. The use of synthetic mesh in association with colonic resection did not lead to post operative infection, allowing concomitant treatment of both diseases in elderly, high risk patients.
The use of synthetic mesh in association with colonic resection did not lead to post operative infection, allowing concomitant treatment of both diseases in elderly, high risk patients.
We therefore conclude that the association between colon cancer and inguinal hernia is mainly coincidental, and the cancer must be suspected on a clinical basis. Less than 1 out of 200 cases of crc is localized within an inguinal hernia 6 . It may lead to immediate death, so you have to know symptoms and early warning signs of colon cancer to protect yourself against this disaster. Colon cancer is a very critical issue and maybe one of the causes of sudden death in young men, women and elderly. I performed an scope examination of her esophagus and confronted a huge cancer occupying the lower portion of her esophagus. The use of synthetic mesh in association with colonic resection did not lead to post operative infection, allowing concomitant treatment of both diseases in elderly, high risk patients. In the region of the inguinal canal, where most hernias occur, there are lymph nodes that can enlarge from infectious or malignancies, and can be mistaken for a hernia. When a hernia meets cancer. A tumor is a solid or cystic mass. A female patient came to see me with some difficulty swallowing, a very routine issue for a gastroenterologist. When colon cancer is detected in its early stages, there may be no symptoms present at all. Typically, patients with ventral hernias describe mild pain, aching or a pressure sensation at the site of the hernia. As detailed in the risk factors, acid reflux caused by hiatal hernia is one of the main cause of esophageal cancer.
• irritable bowel syndrome (ibs) is the. The second surgery left me with a wound vac for a month. Cancer misdiagnosis can have devastating results for the patient. It may lead to immediate death, so you have to know symptoms and early warning signs of colon cancer to protect yourself against this disaster. I expected a benign explanation for her swallowing issue.
From Inguinal Hernias To Spermatic Cord Lipomas Pearls Pitfalls And Mimics Of Abdominal And Pelvic Hernias Radiographics from pubs.rsna.org The discomfort worsens with any activity that puts a strain on the abdomen, such as heavy lifting, running. Cancer misdiagnosis can have devastating results for the patient. It may lead to immediate death, so you have to know symptoms and early warning signs of colon cancer to protect yourself against this disaster. Colon cancer may be diagnosed with the following colon cancer testing: A hernia happens anytime a body part pushes into a place where it doesn't belong. Symptoms of hiatal hernia include: Typically, patients with ventral hernias describe mild pain, aching or a pressure sensation at the site of the hernia. In the region of the inguinal canal, where most hernias occur, there are lymph nodes that can enlarge from infectious or malignancies, and can be mistaken for a hernia.
However, there are other more common reasons for hip pain, such as muscle strain, arthritis, and aging.
Colon cancer is a very critical issue and maybe one of the causes of sudden death in young men, women and elderly. Do not hesitate to consult your cancer doctor immediately and visit a colon cancer center if you suffer from any of these warning signs. When a ct scan misses cancer. Due to the widely misunderstood nature of cancer, cancer misdiagnosis is among the most common type of medical misdiagnosis. When colon cancer is detected in its early stages, there may be no symptoms present at all. Causes, symptoms, risk factors, and. Colon cancer may be diagnosed with the following colon cancer testing: Some of the other medical conditions that can be confused with appendicitis include: Pain in the chest or abdomen. Colon cancer can become secondarily infected and simulate sigmoid diverticulitis,. As detailed in the risk factors, acid reflux caused by hiatal hernia is one of the main cause of esophageal cancer. Click play to watch the video or read the transcript. I expected a benign explanation for her swallowing issue.
Shelby is very active on our site always there to help others along their way, offering support and answering questions that those who are just starting. Learn about can colon cancer be mistaken for diverticulitis) symptoms like abdominal pain, cramping, constipation, diarrhea, and rectal bleeding. When a ct scan misses cancer. Since a hiatal hernia often exhibits the same symptoms as other conditions, it can be easily mistaken for something else entirely. Colon cancer may be diagnosed with the following colon cancer testing:
Advanced Surgical Associates Colorectal Surgery I from www.advancedsurgery.com As mentioned above, 95,000 new cases of this type of cancer are expected in this year alone (2016). Less than 1 out of 200 cases of crc is localized within an inguinal hernia 6 . It may lead to immediate death, so you have to know symptoms and early warning signs of colon cancer to protect yourself against this disaster. I was diagnosed in april2019, and had my first surgery on 5/6 (opensurgery), with a second one 10 days later due to an anastomotic leak. We therefore conclude that the association between colon cancer and inguinal hernia is mainly coincidental, and the cancer must be suspected on a clinical basis. In the region of the inguinal canal, where most hernias occur, there are lymph nodes that can enlarge from infectious or malignancies, and can be mistaken for a hernia. Typically, patients with ventral hernias describe mild pain, aching or a pressure sensation at the site of the hernia. 4.7k views reviewed >2 years ago
The use of synthetic mesh in association with colonic resection did not lead to post operative infection, allowing concomitant treatment of both diseases in elderly, high risk patients.
Although still considered rare, adenocarcinoma of the esophagus, the most common form of esophageal cancer, is one of the. Since a hiatal hernia often exhibits the same symptoms as other conditions, it can be easily mistaken for something else entirely. De caestecker discusses hernia symptoms and what they might be mistaken for. Initial common symptoms in patients presenting with colon cancer are abdominal pain, change in bowel habits, melaena, and general weakness 5 . Colonoscopy, a procedure which involves a flexible tube with an attached video camera. Some of the other medical conditions that can be confused with appendicitis include: In cases where cancer is not identified or mistaken for another disease, patients may miss a critical window for treatment. As detailed in the risk factors, acid reflux caused by hiatal hernia is one of the main cause of esophageal cancer. Many conditions can cause hip pain, and cancer is one of them. An inguinal hernia containing colorectal cancer is rare but serious and can often present with complications such as perforation. Less than 1 out of 200 cases of crc is localized within an inguinal hernia 6 . Do not hesitate to consult your cancer doctor immediately and visit a colon cancer center if you suffer from any of these warning signs. She is an endometrial cancer survivor and is starting to get compfortable with the idea of being a survivor.
What Are Symptoms Of A Tumor In A Dog - Signs & Symptoms of a Dog Brain Tumor | Canna-Pet® - Benign tumors do not usually affect your pet unless they are large or are growing in an area that affects everyday actions of the animal, for example on a paw, or between. . Learn the types of dog tumors, find out which ones are cancerous, and read up on treatment options for a cancerous tumor is among the most devastating diagnoses a veterinarian will give to a dog. These tumors occur more commonly in long nosed (doliochocephalic) breeds of dog, such as the golden. Some dogs may experience vision loss, while others may develop changes in their behavior, for example. Indicate that you are leaving the cdc website. The signs and symptoms are numerous, all illustrating the interdependence of the homeostatic mechanisms, which, when not functioning properly, provide the manifestations of disease. What are neoplasia, tumors and cancer? Treatment options for cancerous tumors in ...
How To Make Scrapbook Cards : Hot Pink Scrapbooking Birthday Card Idea Everything About Scrapbooking Com / Maybe you would like to learn more about one of these? . We did not find results for: Maybe you would like to learn more about one of these? Check spelling or type a new query. How to make scrapbook cards. How to make scrapbook cards. We did not find results for: Check spelling or type a new query. Maybe you would like to learn more about one of these? 10 Ways To Make And Use Paper Pockets Templates Tutorials Scrap Booking from i1.wp.com How to make scrapbook cards. Maybe you would like to learn more about one of these? Check spelling or type a new query. We did not find results for: Maybe you would like to learn more about one of these? Check spelling or type a new query. How to make scrapbook cards. We did not find re...
What Do You Need To Make A Library Card - Embroidered Library Card Valentines The House That Lars Built / Visit one of our library locations to renew your library card. . Apply online or at any library location. Visit one of our library locations to renew your library card. Library cards for adults expire every three years. You may also request physical items with your digital account; You may also need to prove your address, which is usually done by bringing in a piece of official mail (a utility bill for instance) that has your name and address on it. A broward county library card is all you need to unlock a world of educational and fun resources. To qualify, you must live, work, attend school, or own property in jefferson county. You will not be able to complete the ecard online registration process if you already have a physical library card. Apply for a library card new york residents ages 13 and older can get a digital library card through our online card appli...
Komentar
Posting Komentar